Outline
This model is an ideal choice for ultrasound-guided femoral arteriovenous puncture & abdominocentesis training with true-to-life skin feel and touch, accurate anatomical structures and real clinical ultrasound images. Realistic resistance to needle tips and correct landmarks provide excellent hands-on experience.
Skills Gained
· Recognition of landmarks by ultrasound and image interpretation
· Abdominal percussion
· Abdominocentesis
· Femoral arterionevous puncture
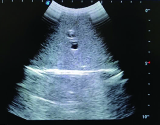
Features
· Anatomy:
Abdomen, anterior superior iliac spine, navel, symphysis pubis, groin, femoral artery, femoral veins, etc.
· Realism:
1) Advanced material for true-to like skin touch, feel and puncture
2) Real clinical ultrasound images with clear anatomical structures like intestines, part of the liver, arteries and veins, etc.
· Key Features:
1) Ultrasound-guided puncture and abdominocentesis practice
2) Resistance & “pop” felt through the needles
3) Durable and replaceable puncture pads
4) Fluid available after successful puncture